
Introducción
La neumonía con derrame pleural es una condición en la que se acumula líquido en el espacio pleural, que es el espacio entre los pulmones y la pared torácica. El líquido puede ser causado por una infección, una inflamación o una lesión.
Síntomas
Los síntomas de la neumonía con derrame pleural pueden incluir:
- Dificultad para respirar
- Dolor en el pecho
- Tos
- Fiebre
- Sudoración nocturna
Causas
Las causas más comunes de la neumonía con derrame pleural son:
- Infección: La neumonía es la causa más común de derrame pleural. Las bacterias, los virus y los hongos pueden causar neumonía.
- Inflamación: La inflamación de la pleura puede causar derrame pleural. Las causas de la inflamación pleural incluyen la artritis reumatoide, la lupus y la sarcoidosis.
- Lesión: Una lesión en el tórax puede causar derrame pleural.
Diagnóstico
El diagnóstico de la neumonía con derrame pleural se basa en los síntomas del paciente, un examen físico y pruebas de diagnóstico. Las pruebas de diagnóstico que se pueden realizar incluyen:
- Radiografía de tórax: Una radiografía de tórax puede mostrar líquido en el espacio pleural.
- Tomografía computarizada (TC): Una TC puede proporcionar una imagen más detallada del espacio pleural.
- Punción pleural: Una punción pleural es un procedimiento en el que se inserta una aguja en el espacio pleural para extraer líquido. El líquido se envía a un laboratorio para su análisis.
Tratamiento
El tratamiento de la neumonía con derrame pleural depende de la causa. El tratamiento de la infección puede incluir antibióticos. El tratamiento de la inflamación puede incluir medicamentos antiinflamatorios. El tratamiento de la lesión puede incluir cirugía.
Complicaciones
Las complicaciones de la neumonía con derrame pleural pueden incluir:
- Insuficiencia respiratoria: El líquido en el espacio pleural puede dificultar la respiración.
- Infección del líquido pleural: El líquido pleural puede infectarse, lo que puede causar empiema.
- Neumotórax: El aire puede entrar en el espacio pleural, lo que puede causar neumotórax.
Pronóstico
El pronóstico de la neumonía con derrame pleural depende de la causa y de la gravedad de la condición. La neumonía con derrame pleural causada por una infección suele ser curable con tratamiento.
-
neumonía con derrame pleural
-
derrame pleural
-
neumonía
-
pulmón
-
pleura
-
infección
-
inflamación
-
lesión
-
dificultad para respirar
-
dolor en el pecho
-
tos
-
fiebre
-
sudoración nocturna
-
radiografía de tórax
-
tomografía computarizada (TC)
-
punción pleural
-
antibióticos
-
medicamentos antiinflamatorios
-
cirugía
-
insuficiencia respiratoria
-
infección del líquido pleural
-
neumotórax
-
diagnóstico
-
tratamiento
-
complicaciones
-
pronóstico
Conclusión
La neumonía con derrame pleural es una condición que puede ser causada por una infección, una inflamación o una lesión. Los síntomas de la neumonía con derrame pleural pueden incluir dificultad para respirar, dolor en el pecho, tos, fiebre y sudoración nocturna. El diagnóstico de la neumonía con derrame pleural se basa en los síntomas del paciente, un examen físico y pruebas de diagnóstico. El tratamiento de la neumonía con derrame pleural depende de la causa.
WebUn derrame pleural se produce cuando se acumula líquido entre las superficies de las pleuras parietal y visceral del tórax. En este espacio existe siempre. WebEsta distinción permite al médico determinar la causa. Por ejemplo, la insuficiencia cardíaca y la cirrosis son causas comunes de líquido acuoso en el espacio pleural. La neumonía ,. WebUn derrame pleural es una acumulación anormal y excesiva de este líquido. Hay dos tipos de derrame pleural: El derrame pleural transudativo es causado por líquido que se filtra. WebEl derrame pleural es una acumulación de líquido en el espacio pleural. El espacio pleural es el área entre las capas del tejido que recubren el pulmón y la cavidad torácica. En.
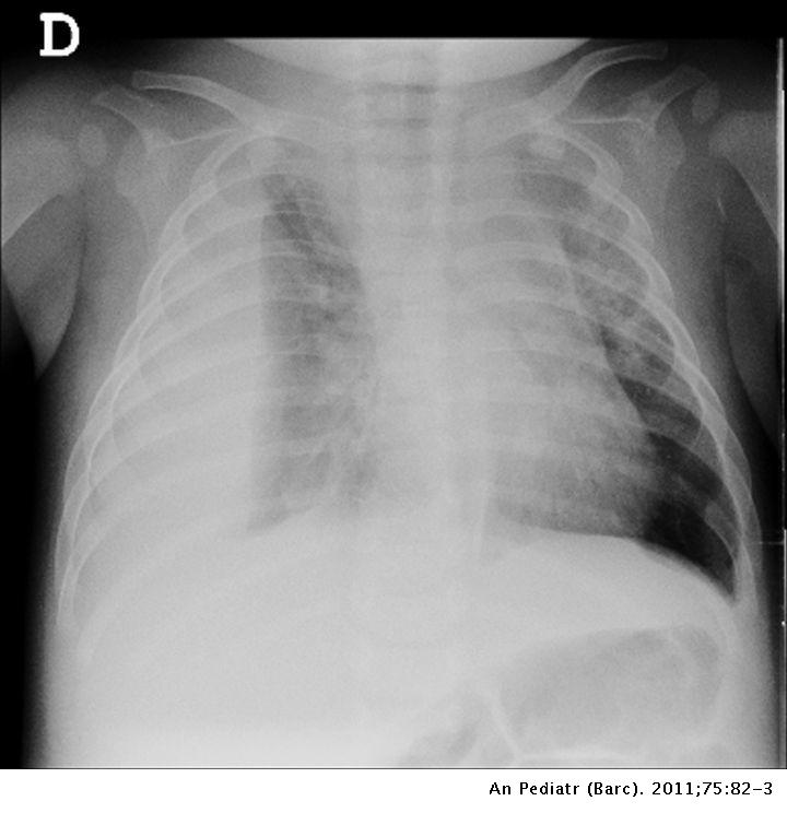
Neumonía y derrame pleural por Staphylococcus aureus sensible a meticilina productor de leucocidina de Panton-Valentine: muy infrecuente y muy peligroso | Anales de Pediatría

Source: analesdepediatria.org
Revista Pediatría Electrónica

Source: revistapediatria.cl
2
Que Es Neumonia Con Derrame Pleural, Derrame pleural, 29.48 MB, 21:28, 175,725, Juanse Rodríguez MD, 2021-01-25T01:45:44.000000Z, 2, Neumonía y derrame pleural por Staphylococcus aureus sensible a meticilina productor de leucocidina de Panton-Valentine: muy infrecuente y muy peligroso | Anales de Pediatría, analesdepediatria.org, 744 x 720, jpg, , 3, que-es-neumonia-con-derrame-pleural
Que Es Neumonia Con Derrame Pleural. WebLa neumonía es una infección que inflama los sacos aéreos de uno o ambos pulmones. Los sacos aéreos se pueden llenar de líquido o pus (material purulento), lo. WebSuele estar originado por una insuficiencia cardíaca y, en algunos casos, por cirrosis hepática. Exudado: la procedencia varía, aunque las más frecuentes son:.
Aquí vemos el abordaje diagnóstico y terapeutico de un derrame pleural
Neumonía y derrame pleural por Staphylococcus aureus sensible a meticilina productor de leucocidina de Panton-Valentine: muy infrecuente y muy peligroso | Anales de Pediatría
WebUn derrame pleural es una acumulación anormal y excesiva de este líquido. Hay dos tipos de derrame pleural: El derrame pleural transudativo es causado por líquido que se filtra. WebEl derrame pleural es una acumulación de líquido en el espacio pleural. El espacio pleural es el área entre las capas del tejido que recubren el pulmón y la cavidad torácica. En.
www.mdsaude.com › es › neumologiaDerrame pleural: qué es, síntomas y tratamiento | MD.Saúde
El derrame pleural, conocido popularmente como agua en la pleura o agua en el pulmón, es el nombre dado a la acumulación anormal de líquidos en la pleura, una membrana fina que rodea los pulmones. El derrame pleural no es una enfermedad, sino más bien una manifestación común de muchas enfermedades diferentes. .
.
.
.
.
.
.
.
medlineplus.gov › spanish › encyDerrame pleural paraneumónico: MedlinePlus enciclopedia médica
Causas La neumonía, más comúnmente causada por bacterias, provoca derrame pleural paraneumónico. Síntomas Los síntomas pueden incluir cualquiera de los siguientes: Dolor en el pecho, usualmente un dolor intenso que empeora con tos o respiraciones profundas Tos con esputo (flema) Fiebre Respiración rápida Dificultad respiratoria Pruebas y exámenes .
.
www.msdmanuals.com › derrame-pleuralDerrame pleural – Trastornos del pulmón y las vías …
Neumonía Embolia pulmonar Cirugía, como una intervención reciente de revascularización coronaria (bypass) Traumatismo torácico Cirrosis Insuficiencia renal Lupus eritematoso sistémico (lupus) Pancreatitis Artritis reumatoide Tuberculosis Síndrome nefrótico (proteínas en la orina y presión sanguínea elevada) Diálisis peritoneal .
.
.
.
.
medlineplus.gov › spanish › encyDerrame pleural: MedlinePlus enciclopedia médica
Un derrame pleural es una acumulación anormal y excesiva de este líquido. Hay dos tipos de derrame pleural: El derrame pleural transudativo es causado por líquido que se filtra hacia el espacio pleural. Esto se debe a una presión elevada en los vasos sanguíneos o a un contenido bajo de proteínas en la sangre. .
apelizalde.org › revistas › 2018-1-ARTICULOSNeumonía con derrame pleural.
Neumonía con derrame pleural 1. Definición: Infección del parénquima pulmonar que en su evo-lución compromete el espacio pleural con incre-mento del líquido con diferentes características. 2. Etiología: Bacteriana (en orden de frecuencia) Streptococcuspneumoniae Stafilococcusaureus Streptococcuspyogenes Mycoplasmapneumoniae .
.
www.mayoclinic.org › es › diseases-conditionsNeumonía – Síntomas y causas – Mayo Clinic
La neumonía es una infección que inflama los sacos aéreos de uno o ambos pulmones. Los sacos aéreos se pueden llenar de líquido o pus (material purulento), lo que provoca tos con flema o pus, fiebre, escalofríos y dificultad para respirar. Diversos microrganismos, como bacterias, virus y hongos, pueden provocar neumonía. .

